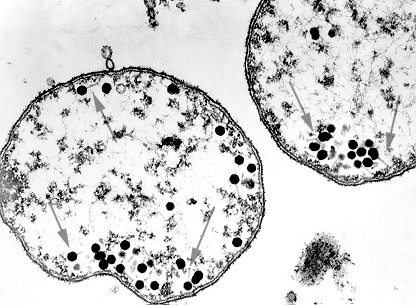
Bacteria Infected with Bacteriophages

Most of the phages (arrows) have assembled.

Electron Micrograph Copyright © Robert Burchard
Used with permission.